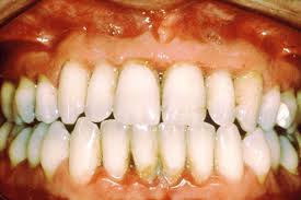
Penyakit gusi pada dasarnya merupakan kerusakan jaringan gusi dan pendukung gigi akibat proses peradangan yang bisa disebabkan oleh iritasi bakteri plak. Kebersihan mulut yang tidak dijaga dengan baik, misalnya akibat malas menyikat gigi ataupun karena menyikat gigi yang tidak bersih, dapat menyebabkan penumpukan bakteri plak yang selain dapat menimbulkan lubang gigi juga dapat menimbulkan terjadinya peradangan pada gusi.
Dalam penelitian ini tingkat keparahan penyakit gusi dilihat berdasarkan banyaknya tulang pendukung gigi (alveolar) yang hilang yang dilihat melalui foto sinar x. Semakin banyak tulang alveolar yang hilang, maka semakin parah tingkat dari penyakit gusi yang diderita.
Ternyata dari setiap milimeter tulang alveolar yang hilang, resiko kanker kepala dan leher meningkat lebih dari 4 kali lipat. Bahkan hubungan ini ditemukan juga pada pasien yang tidak pernah merokok ataupun mengkonsumsi alkohol. Kebiasaan merokok dan mengkonsumsi alkohol juga

merupakan faktor resiko dari kanker mulut.
Peneliti menambahkan bahwa perlu dilakukan penelitian lagi untuk mengkonfirmasi hasil temuan ini.
Sumber: Gum disease linked to head and neck cancer
Perhatian:
Dibebaskan menyalin sebagian ataupun keseluruhan isi blog ini demi kepentingan pendidikan kesehatan bagi masyarakat umum dengan ketentuan mencantumkan alamat link blog ini sebagai sumbernya.Apabila Anda ingin berlangganan berita terbaru dari Gigi Sehat Badan Sehat, daftarkanlah alamat email Anda dengan meng-klik kata berlangganan:
Berlangganan.
Berita terbaru dari Gigi Sehat Badan Sehat akan langsung dikirimkan ke email Anda.
Kembali ke halaman utama